Você trabalha com solda todos os dias. O calor, as faíscas e o cheiro de metal são parte da sua rotina. Mas você já parou para pensar no que está respirando? A condição conhecida como pulmão de soldador é um risco real e silencioso que muitos profissionais enfrentam.
Infelizmente, nem todos conhecem os seus direitos quando a saúde é afetada pelo trabalho. Entender o que é o pulmão de soldador, ou siderose pulmonar, é o primeiro passo para se proteger. Mais importante ainda é saber que a lei está do seu lado.
Se a sua saúde foi prejudicada pela falta de segurança no ambiente de trabalho, você tem direitos que precisam ser defendidos. Você vai aprender mais sobre eles aqui. A informação é a sua melhor ferramenta de proteção.
Saiba mais sobre os seus direitos com uma consulta gratuita de um advogado especialista clicando aqui.

Table Of Contents:
- O Que Exatamente é o Pulmão de Soldador?
- Sinais de Alerta: Como Reconhecer os Sintomas?
- A Diferença Entre Doença Ocupacional e Acidente de Trabalho
- Diagnóstico e Prevenção: Como se Proteger?
- Pulmão de Soldador: Seus Direitos Trabalhistas e Previdenciários
- O Papel de um Advogado Especializado
- Conclusão
O Que Exatamente é o Pulmão de Soldador?
Muitos soldadores já ouviram falar do termo, mas poucos sabem o que ele realmente significa. O pulmão de soldador é o nome popular para uma doença chamada siderose. Ela é um tipo de pneumoconiose, que é um grupo de doenças pulmonares causadas pela inalação de poeira no ambiente de trabalho.
No caso da siderose, a poeira é composta por partículas finas de óxido de ferro. Essas partículas vêm dos fumos metálicos gerados durante os processos de soldagem. Quando você respira esses fumos dia após dia, sem a proteção correta, o ferro se acumula nos seus pulmões.
Esse acúmulo ocorre especificamente nos alvéolos pulmonares, as pequenas bolsas de ar responsáveis pelas trocas gasosas. Com o tempo, o excesso de ferro pode prejudicar o funcionamento do sistema respiratório. Esta condição é uma doença que age em silêncio por anos, sendo um perigo constante para a saúde dos trabalhadores.
A siderose pura, caracterizada por apenas depósitos de ferro, raramente causa grandes problemas de imediato. A questão é que os fumos metálicos quase nunca contêm apenas ferro. Os efeitos se tornam mais graves quando outras substâncias tóxicas estão presentes.
Sinais de Alerta: Como Reconhecer os Sintomas?
Como a siderose pode ser assintomática por muito tempo, como você pode saber se algo está errado? Os sintomas só aparecem em estágios mais avançados ou quando a exposição envolve outros agentes. O problema fica maior quando os fumos de solda contêm outras substâncias, como sílica ou asbesto (também conhecido como amianto ou asbesto).
A inalação combinada desses elementos pode levar a doenças mais graves e com sintomas claros, como a fibrose pulmonar. Fique atento a qualquer mudança na sua respiração ou bem-estar geral, pois os sinais não devem ser ignorados. Uma tosse que não passa ou falta de ar ao fazer esforços leves são alertas importantes.
Muitos trabalhadores acham que é apenas cansaço ou um resfriado, mas pode ser algo mais sério. As características clínicas da doença se manifesta de forma diferente em cada pessoa. É importante procurar um médico se você notar algum destes sinais:
- Tosse crônica e persistente, com ou sem expectoração.
- Falta de ar (dispneia), que piora com o esforço e, em casos graves, ocorre mesmo em repouso.
- Dor ou desconforto na região do peito.
- Cansaço extremo e fadiga sem motivo aparente.
- Chiado no peito ou respiração ruidosa.
Não ignore esses avisos do seu corpo, pois eles podem indicar que seus pulmões estão sobrecarregados. O diagnóstico precoce pode fazer uma grande diferença no tratamento e na proteção dos seus direitos. Infelizmente, os sintomas são em geral tardios, surgindo após anos de exposição contínua.
A Diferença Entre Doença Ocupacional e Acidente de Trabalho
Entender a linguagem da lei é fundamental para defender seus direitos. Muita gente confunde doença ocupacional com acidente de trabalho. Embora os direitos sejam parecidos, as definições são diferentes e entender isso ajuda no seu caso.
Um acidente de trabalho é um evento súbito, inesperado e pontual que causa uma lesão. Por exemplo, uma queda de um andaime, uma queimadura durante a soldagem ou um corte com uma ferramenta. É algo que acontece em um momento específico e de forma clara.
Já a doença ocupacional, como o pulmão de soldador, se desenvolve lentamente ao longo do tempo. Ela é resultado da exposição contínua a condições de trabalho prejudiciais, como a inalação dos fumos metálicos. A doença não surge de um dia para o outro; ela é a consequência de meses ou anos de trabalho em um meio ambiente inadequado.
O governo brasileiro equipara a doença ocupacional ao acidente de trabalho para fins de direitos previdenciários e trabalhistas. Isso significa que, perante a lei, o impacto na sua vida tem o mesmo peso. Essa equiparação garante que o trabalhador doente tenha o mesmo amparo que o trabalhador acidentado.
Diagnóstico e Prevenção: Como se Proteger?
Saber como a doença é diagnosticada e, mais importante, como preveni-la, é uma arma poderosa. A prevenção é sempre o melhor caminho e é uma responsabilidade direta do seu empregador. Se a prevenção falhou, o diagnóstico correto é o primeiro passo para buscar seus direitos.
O Diagnóstico Médico
Se você suspeita que algo está errado com sua saúde respiratória, o primeiro passo é procurar um médico. Um pneumologista ou um médico do trabalho são os especialistas mais indicados. Eles vão ouvir seu histórico de trabalho, entender a sua exposição e avaliar seus sintomas.
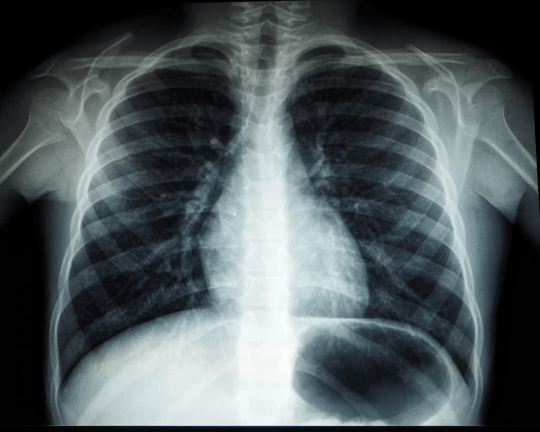
O principal exame para detectar a siderose é a radiografia de tórax. O acúmulo de partículas de ferro aparece como pequenas manchas opacas nos pulmões, que são visíveis em exames de imagem. Devido ao fato de os sintomas demorarem a aparecer, muitas vezes o diagnóstico só acontece durante exames de rotina.
Outros exames de imagem, como a tomografia computadorizada de alta resolução, também podem ser usados para uma visão mais detalhada dos pulmões. Testes de função pulmonar (espirometria) também podem ser realizados para medir a capacidade respiratória e avaliar a perda da função pulmonar.
A Responsabilidade do Empregador na Prevenção
A lei é clara: o empregador é responsável por garantir um meio ambiente de trabalho seguro. Isso não é um favor, é uma obrigação legal. Para soldadores, isso envolve uma série de medidas de proteção para evitar a inalação de fumos tóxicos e proteger o sistema respiratório dos trabalhadores.
As causas da doença estão diretamente ligadas à falha do empregador em cumprir as normas de segurança. Seu empregador deve tomar as seguintes atitudes, conforme as Normas Regulamentadoras, como a NR-9 (Programa de Prevenção de Riscos Ambientais) e a NR-15 (Atividades e Operações Insalubres):
- Fornecer Equipamentos de Proteção Individual (EPIs) de qualidade, principalmente máscaras respiratórias com filtros adequados para fumos metálicos.
- Instalar sistemas de ventilação e exaustão eficientes no local de trabalho para dispersar e remover os fumos da zona de respiração do soldador.
- Oferecer treinamento regular sobre os riscos da atividade, as formas de prevenção e o uso correto dos EPIs.
- Realizar exames médicos periódicos para monitorar a saúde dos seus pulmões e detectar qualquer alteração precocemente.
- Isolar a área de soldagem para evitar que outros trabalhadores também sejam expostos aos riscos.
A falha em qualquer um desses pontos pode ser considerada negligência. Essa negligência é a base para buscar uma indenização na justiça, pois demonstra a culpa da empresa no desenvolvimento da sua doença.
Abaixo, veja todos os tipos de fumos de solda e os riscos associados.
| Tipo de Solda / Metal Base | Componentes dos Fumos | Principais Riscos à Saúde |
|---|---|---|
| Aço Carbono | Óxidos de ferro, Manganês | Siderose, Manganismo (problemas neurológicos) |
| Aço Inoxidável | Ferro, Cromo Hexavalente, Níquel | Siderose, Asma, Danos renais, Câncer em pulmões |
| Alumínio | Óxidos de alumínio, Ozônio | Febre dos fumos metálicos, problemas respiratórios |
| Aço Galvanizado | Óxidos de Zinco | Febre dos fumos metálicos (sintomas gripais agudos) |
| Cobre e Ligas | Óxidos de cobre, Zinco, Chumbo | Febre dos fumos metálicos, danos neurológicos (chumbo) |
Pulmão de Soldador: Seus Direitos Trabalhistas e Previdenciários
Se você foi diagnosticado com pulmão de soldador ou outra doença respiratória por causa do seu trabalho, saiba que você tem direitos. Esses direitos são divididos entre os benefícios pagos pelo INSS e as reparações que podem ser exigidas da empresa. É uma jornada que pode parecer difícil, mas conhecer o caminho torna tudo mais claro.
O Reconhecimento da Doença pelo INSS
O primeiro passo para acessar seus direitos previdenciários é o reconhecimento da doença como ocupacional pelo INSS. Para isso, é essencial emitir a Comunicação de Acidente de Trabalho (CAT). A empresa é obrigada a emitir este documento assim que souber do diagnóstico.
Mas e se a empresa se recusar a emitir a CAT? Não se preocupe, essa recusa não impede seus direitos. Você mesmo, um familiar, seu médico ou o sindicato da sua categoria podem emitir a CAT online, através do site do INSS.
Com a CAT e os laudos médicos em mãos, você deve agendar uma perícia médica no INSS para solicitar os benefícios. Dependendo da gravidade da sua condição e da avaliação do perito, você pode ter direito a:
- Auxílio-doença acidentário (B-91): Benefício pago enquanto você estiver temporariamente incapaz de trabalhar para se recuperar. A principal diferença para o auxílio-doença comum (B-31) é que o B-91 garante estabilidade no emprego por 12 meses após a alta e o depósito do FGTS durante o afastamento.
- Aposentadoria por invalidez (B-92): Concedida se a doença o incapacitar de forma total e permanente para qualquer trabalho. Este benefício, hoje chamado de Aposentadoria por Incapacidade Permanente, é integral quando de origem acidentária.
- Auxílio-acidente (B-94): Se você ficar com sequelas permanentes que diminuam sua capacidade de trabalho, recebe uma indenização mensal. Esse benefício pode ser acumulado com o salário, caso você consiga voltar a trabalhar em outra função, e é pago até a sua aposentadoria.
Direitos em Relação à Empresa
Além dos benefícios do INSS, a empresa que causou a doença por negligência também tem responsabilidades. Você pode entrar com uma ação na Justiça do Trabalho para pedir reparações financeiras. A ajuda de um advogado especializado aqui é muito importante para garantir que você receba tudo o que lhe é devido.
Seus direitos contra a empresa podem incluir:
- Estabilidade no emprego: Ao retornar do auxílio-doença acidentário, você tem garantia de emprego por no mínimo 12 meses. A empresa não pode demitir você sem justa causa nesse período.
- Indenização por danos morais: Uma compensação financeira pelo sofrimento, dor, angústia e abalo psicológico causados pela doença e pelo tratamento. O valor é definido pelo juiz com base na gravidade do dano.
- Indenização por danos materiais: Reembolso de todas as despesas médicas, como consultas, exames, cirurgias, medicamentos e fisioterapia. Inclui também despesas futuras, se o tratamento for contínuo.
- Pensão mensal vitalícia: Se a doença causar uma perda da capacidade de trabalho permanente (parcial ou total), a empresa pode ser condenada a pagar uma pensão. O valor é calculado com base no seu salário e no percentual da capacidade perdida.
A Prova da Culpa do Empregador
Para conseguir essas indenizações, é crucial provar duas coisas: o nexo causal (a relação entre a doença e o trabalho) e a culpa do empregador. Ou seja, você precisa mostrar que a doença foi causada pelas condições de trabalho e que a empresa foi negligente em proteger a sua saúde.
As provas podem ser documentos, como a falta de registros de entrega de EPIs, laudos ambientais (PPRA e PCMSO) que apontem o risco, ou o seu Perfil Profissiográfico Previdenciário (PPP). Testemunhas, como colegas de trabalho, também são muito importantes. Elas podem confirmar as condições precárias de segurança no local e a falta de equipamentos adequados.
Guarde todos os seus laudos, receitas e exames médicos. Cada documento é uma peça importante no quebra-cabeça para construir um caso forte. Um juiz em São Paulo, por exemplo, pode usar precedentes de casos semelhantes para fundamentar uma decisão favorável ao trabalhador.
O Papel de um Advogado Especializado
Lidar com a burocracia do INSS e processar uma empresa pode ser cansativo e complexo. As regras são cheias de detalhes técnicos e os processos podem levar tempo. Ter um advogado especialista em direito trabalhista e previdenciário ao seu lado faz toda a diferença.
Esse profissional sabe exatamente quais documentos são necessários e como apresentá-los. Ele entende como funcionam as perícias do INSS e pode orientá-lo a se preparar para elas. Mais importante, ele sabe como construir um caso sólido para provar a culpa do empregador na Justiça do Trabalho.
Um advogado vai lutar por você em todas as etapas, desde a solicitação do benefício correto no INSS até a negociação de um acordo ou a condução do processo judicial. Ele garante que todos os seus direitos sejam respeitados e que você receba a indenização mais justa possível. Você não precisa passar por isso sozinho; buscar ajuda especializada é um ato de cuidado com você mesmo e com o seu futuro.
Conclusão
Seu trabalho como soldador é valioso e essencial, mas sua saúde vale muito mais. O diagnóstico de pulmão de soldador é um sinal claro de que as condições de segurança no seu trabalho falharam. Isso não é apenas um problema médico; é uma questão de justiça social e de direitos humanos.
Você dedicou seu tempo e sua força ao seu ofício, e a sua saúde não pode ser o preço a pagar pela negligência de outros. Entender que o pulmão de soldador é uma doença ocupacional abre a porta para uma série de direitos. Desde o amparo financeiro do INSS até a responsabilização completa da empresa, a lei oferece caminhos para que você seja compensado e cuidado.
Não hesite em buscar um diagnóstico preciso com um médico especialista. Em seguida, procure a orientação jurídica correta para lutar pelo que é seu por direito. Proteger sua saúde e garantir seu futuro é a prioridade.
Saiba mais sobre os seus direitos com uma consulta gratuita de um advogado especialista clicando aqui.


